March 21 is celebrated as World Down Syndrome Day to signify the triplication of the 21st chromosome and create awareness. With an incidence of 1:700 to 1:1000 live births, every year between 25,000 and 30,000 children are born in India with Down Syndrome (DS). DS is the most common genetic condition and the most common chromosomal abnormality within paediatric age group. It is caused due to an extra copy of chromosome 21, also referred as Trisomy 21.
Human body is made up of billions of cells and in each cell there is a nucleus, where genetic material is stored in rod-like structures called chromosomes. Typically, the nucleus of each cell contains 23 pairs of chromosomes, half of which are inherited from each parent. An extra chromosome 21 leads to characteristic physical features, intellectual disabilities, developmental delay and also in some cases heart disorders, endocrine and gastroenterological issues.
DS mostly can be diagnosed by the apparent clinical characteristic features. The most prominent clinical presentation is absent or hypoplastic nasal bone, widely placed eyes, low set ears, slanting upward eyes, enlarged tongue, short fingers, simian crease, sandal gap, mental insufficiency, cardiac anomalies and hypotonia. DS individuals are differently abled. The average IQ of an adult with DS is equivalent to that of an 8-year-old. Children born with DS if taken care of properly can absolutely go on to live happy and long lives.
Confirmatory testing for chromosomal analysis is done by Karyotyping, FISH (Fluorescence in situ hybridization) test or QfPCR (Quantitative Fluorescence-Polymerase Chain Reaction). DS can also be detected by prenatal screening followed by diagnostic or confirmatory testing during pregnancy by invasive methods like chorionic villi sampling or amniocentesis or non-invasive prenatal screening (NIPS) methods.
Advanced maternal age – an established risk for Trisomy 21

- NEWBERGER D. Down Syndrome: Prenatal Risk Assessment and Diagnosis. Am Fam Physician. 2000 Aug 15;62(4):825-832.
The risk of Trisomy 21 in the general population primarily depends on increasing maternal age. The age of the mother is the only factor that has been shown to increase the risk of having a baby with DS. This risk increases with every year, especially after the mother is 35 years of age. However, because younger women are more likely to have babies than older women, 80% of babies with DS are born to women younger than 35 years of age.
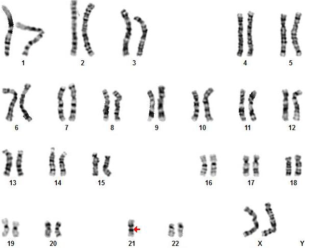
Human Chromosomes
A normal human cell contains 46 chromosomes, rod-like structures made of DNA and protein, that come in 23 matched pairs. These chromosomes carry tens of thousands of genes, and are organized bits of DNA that are passed on from generations to generations and tell our body how to develop and function. One set of 23 chromosomes is maternal in origin, while the other is paternal. Chromosomes number 1 to 22 are known as the autosomes, while the 23rd pair is called the sex chromosomes (denoted X and Y chromosome). Sex chromosomes determine human sex in which females possess two
X chromosomes (XX), and males possess a X and a Y chromosome (XY) in each cell
Chromosome analysis or karyotyping is a test that evaluates the number and structure of a person’s chromosomes in order to detect any abnormalities. It requires experienced and expertised cytogeneticist to perform and to interpret the results.

Mechanism for Down Syndrome
This chromosomal abnormality is a consequence of disordered meiosis (a stage in cell division and differentiation of the gametes) during germ cell formation ie. nondisjunction, which occurs when pairs of homologous chromosomes or sister chromatids fail to separate during meiosis I or II (or during mitosis).

Different cytogenetic forms of Down Syndrome as represented by Karyotyping
Confirmation for the type of chromosomal pattern is very important to diagnose as well as establish the recurrence risk and detect low grade mosaicism.
Free Trisomy 21
Free trisomy 21 or an extra chromosome 21 is seen in almost 95% of the cases and is caused because of a random error during meiosis called nondisjunction event.
Translocation Down Syndrome
Translocation Down syndrome happens when an extra copy of chromosome 21 is attached to itself or another chromosome mostly chromosome 13,14,15,22.
About 3 – 4% of people with Down Syndrome have translocation involving chromosome 21 resulting in Down syndrome. It may be caused due to parents being a carrier for a robertsonian translocation and is passed on from parents or may occur denovo. Robertsonian translocation Downs are mostly inherited due to either of the parent being a carrier showing a balanced translocation ie. correct amount of genetic material but present in wrong position.
Translocation trisomy is usually familial and transmitted from one of the parents and is second most common type with a recurrence risk of upto 50%. Parental karyotyping is recommended in order to clarify if the robertsonian translocation is inherited or de-novo in origin. Maternal screening and/or prenatal diagnosis for mother is recommended for future pregnancies.

Parent with a Robertsonian translocation

Down Syndrome child with inherited extra chromosome 21

About 100% risk for Downs for a carrier parent with Robertsonian rob(21;21)

Karyotype of a child with extra chromosome 21 as a result of rob(21;21) translocation
Mosaic Down syndrome
Third variant type of DS is mosaic pattern which contributes 1-2% of total detected trisomies, where in some group of cells have trisomy and remaining cell are normal. Mitotic nondisjunction after conception would lead to mosaicism. Depending upon the percentage of normal and abnormal the consequence may vary. Low-grade mosaicism may at times make difficult to clinically diagnose the condition and hence FISH is recommended to know the exact percentage of mosaicism.
Recurrence risk estimates after one affected child or pregnancy
For Parents with one baby with trisomy 21 are usually the chance of having another baby with Down’s syndrome is 1 in 100. For a better understanding of various options for screening and diagnostic tests and to assess the risk, planning and management of future pregnancy, genetic consultation with a medical geneticist and genetic counselor is strongly recommended.

Risk factors and morbidities associated with Down syndrome
People with Down Syndrome are also more prone to various infections due to low resistance. Many individuals with Down Syndrome go on to develop heart defects, leukaemia, early-onset Alzheimer’s disease, gastro-intestinal problems, respiratory issues, hearing problems, thyroid disorder and other health issues as compared to children without DS
Management of individual with Down syndrome
Awareness and understanding the testing options is the only hope that can lessen the burden of genetic disorders. Treatment and management for Down syndrome varies with each individual. Parents with DS can expect that there child might need an extra help with their development and will need to consult a specialist paediatrician/neonatologist for certain physical, occupational and/or speech therapy /special medical conditions.
These management strategies typically start from birth and in early childhood with aim to help the child and parents to live productive and fulfilling lives.
Educational and support programs are available that can help the child and the families concerned. Counselling sessions assist families to help children with their social skills, motor movements, language and cognitive skills. Certain special schools that help children with DS to socialize and develop important life skills. However most experts currently recommend full or partial inclusion of DS children in standard classes and schools.
The DS care team may typically include:
- Primary care physician to monitor growth, development, medical concerns and provide vaccinations
- Subspecialists depending on the needs of the patient (it could be a cardiologist, an endocrinologist, a geneticist, an audiologist or an eye specialists)
- Speech therapy to improve the ability to communicate
- Physical therapy is most often needed to help strengthen muscles and improve motor skills
- Occupational therapy to help refine motor skills and make daily tasks easier
- Behavioral therapy to help manage the emotional challenges that may accompany Down syndrome.
A precise cytogenetic diagnosis of DS enables the prognosis and better management of DS patients and genetic counselling of the affected families. There is a lot more to be understood about Down syndrome. While we are aware of what DS is, we know little about what causes it or how the symptoms develop and vary. There is hope that future research can lead mitigation of some symptoms and help better the quality of life.
Down Syndrome screening and diagnosis
1. USG Scan/ Nuchal translucency scan/First Trimester screening/Quadruple screening
A test called Maternal screening (double/quadruple marker) will check the levels of specific hormones during pregnancy and estimate a statistical risk that is calculated based on mothers age, gestational age, weight, history of diabetes, smoking, probability likelihood ratio based on population database of having a baby with DS.
The sensitivity of the screening tests increases further if it is combined with ultrasound findings such as Nuchal translucency scan, fetal nasal bone, crown-rump length (CRL) values.
Updated guidelines by the American college of obstetricians and Gynaecologistsstate that “all women should be offered screening for aneuploidy before 20 weeks’ gestation regardless of their age, and should have the option of diagnostic testing.
2. NIPS with cfDNA screening
Non invasive prenatal screening (NIPS) is a blood test that analyses cell free DNA that is derived from placental trophoblasts that are released into the maternal circulation known as fetal cell free DNA fraction. Blood drawn from mother makes it safe and non-invasive for the pregnancy. The test predicts the risk for fetal aneuploidies specifically trisomy 21, trisomy 13 and trisomy 18.
The cell-free fetal DNA screening test can be done at any gestational age after 10 weeks and can detect about 99% of Down syndrome pregnancies. Non-invasive screening screens for aneuploidies using the fetal component of cell-free DNA. Cell-free DNA is the most sensitive and specific screening test for the common fetal aneuploidies (accuracy upto 99%). Nevertheless, it has the potential for false-positive and false-negative results in a very small fraction and hence is not equivalent to diagnostic testing. A pre and post NIPS test genetic consultation/counselling hence is necessary.
Compared with other aneuploidy screening options, NIPS offers a higher detection rate for trisomy 21 with a low false-positive rate.
Prenatal screening tests are for designed to assess the risk of problems, rather than giving a definitive diagnosis. If the results are abnormal i.e. high risk, a genetic consultation/counselling and further diagnostic testing by chorionic villus sampling (CVS) and amniocentesis is usually recommended.
- Invasive Diagnostic testing (CVS or Amniocentesis) must to confirm Down Syndrome
Indications for Invasive testing
- Advanced maternal age (above 35 years)
- Positive/High risk maternal screen
- Previous child with chromosomal anomaly
- Couples are carriers for a balanced translocation
- Family history of a genetic disorder
- Fetal malformations/congenital anomalies
- Intrauterine fetal demise
Prenatal Diagnosis leads to a better management of pregnancy, neonatal management and risk assessment for future pregnancies.
Invasive Procedures
- Amniocentesis is a gold standard for prenatal diagnostic testing, and is performed between the 16thand 18th week of pregnancy. It is a procedure in which amniotic fluid from the amniotic sac is drawn by a needle through the abdomen.
- Chorionic Villus Sampling (CVS)is performed between weeks 10 to 12 of pregnancy, and involves taking a small sample of cells from the placenta. Placental tissue contains the same genetic material as the fetus and can be analyzed for chromosomal abnormalities and other genetic disorders. As it is done early and the Karyotype results come a little faster than amniocentesis that gives early diagnosis and decision for the parents.
- Percutaneous umbilical blood sampling (PUBS) is approximately 95% successful in obtaining a blood sample for cytogenetic testing and gives a better view of the karyotype.
The risk of pregnancy-loss in about 0.2 to 0.5%, is a concern in invasive procedures.
Pre-test counselling/Post-diagnosis genetic consultation /counselling
The purpose of pre-test genetic consultation/counselling is to inform pregnant patients about chromosomal disorders, provide information regarding their specific risk of carrying a foetus with a chromosomal abnormality, enable them to review their relevant personal and family history, and discuss risks, limitations, and benefits of available testing options so that they can make an informed choice regarding screening or diagnostic testing.
Agilus Diagnostics, a subsidiary of Fortis Healthcare Limited
